没关系。近段时间有很多居民们都已经感染了新冠病毒,有一些新冠病毒的感染者,在就诊的过程当中就发现了肺炎,或者是在CT当中出现了白肺的情况,所以有很多网友就认为出现这种情况,有可能和感染了原始毒株或者是疫苗接种有着密不可分的关系,针对于这样的问题国家卫生健康委员会司长焦雅辉在27日国务院联防联控机制新闻发布会上也做出了回应,表示是没有关系的。
白肺和原始毒株及疫苗接种有关系吗
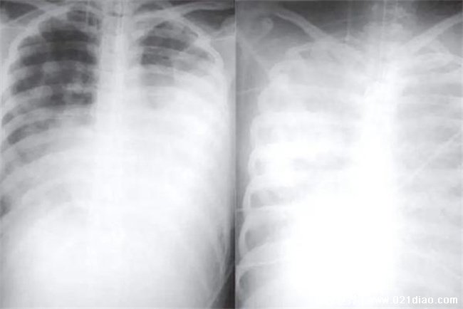
专家回应,现在出现的所谓白肺和武汉当时的原始毒株以及疫苗接种没有关系,现如今比较流行的优势毒株仍然是奥密克戎毒株。专家还表示白肺是属于肺部影像学表现的一种口语化的描述,在正常的情况之下,肺部是由肺泡组成,肺泡里面都是充满着空气的,所以在进行CT或者是X光线检查的过程当中表现出黑色的影像。当肺泡当中出现了炎症或者是感染以及有渗出液或者是炎性细胞的时候,在拍摄CT或者是X线的时候,就出现了白色区域,俗称的白肺。

白肺的治疗方法
有关白肺的治疗方法,专家就表示在治疗上来讲,对于这一个病原体不仅是新冠病毒的病毒,多个病原体都有可能会引发肺部的炎症。比较成熟的治疗方案,主要是采用俯卧位的通气,还要进行给氧的治疗,就包括像无创的呼吸机,以及有创的呼吸机等等,加强对于原发病对应的治疗,经过治疗之后,在白肺患者当中有相当部分还是可以好转的。

其实这也就是想要呼吁更多的人要加强老年人健康状况的监测,在老年人发生感染之后,尤其是转重的倾向,当出现呼吸困难等一些症状的时候,就需要及时的就医。全国也要求对于老年人重症不要经过分级诊疗,要直接转诊到三级医院进行就诊。


